Cabinet dentaire du Dr Olivier PINEAU
Chirurgien-Dentiste à CRETEIL
35 rue de Paris, 94000 CRETEIL
+33 1 48 98 18 67

Blog - Page 31

L’éruption des dents de lait et des dents définitives

L’éruption des dents est variable d’un enfant à l’autre. La première dent de lait sort vers 6 mois et la dernière tombe vers 13 ans. Un suivi régulier permettra de surveiller leur bon développement et l’apparition des dents définitives.

Première visite chez le dentiste

Familiariser votre enfant avec le cabinet dès son plus jeune âge permet de le sensibiliser à sa santé dentaire et d’établir une relation de confiance.

Prévention des caries chez l’enfant : le scellement des sillons

Sceller les sillons consiste à couler une résine fluide et fluorée dans les sillons des premières et deuxièmes molaires permanentes des enfants afin de les obturer.

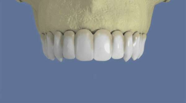
Les différents types de prothèses dentaires

Les prothèses dentaires permettent de remplacer la partie d'une seule ou plusieurs dents. Quels sont les différents types ?

Les percées dentaires

L’arrivée des dents de lait débute vers l’âge de six mois et va durer jusqu’à l’âge de trente mois environ, avec des symptômes variables.

La pose de vernis fluoré pour les enfants et les jeunes adultes de 3 à 24 ans

Le fluor, par voie générale ou en application locale, joue un rôle essentiel dans la protection des dents de l’enfant.

Affichage des articles 181-186 sur 186